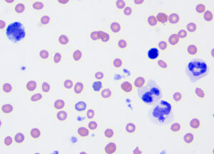
Figure 2: Blood smear from a severely anemic cat

100x objective, modified Wright stain

Scroll to Top