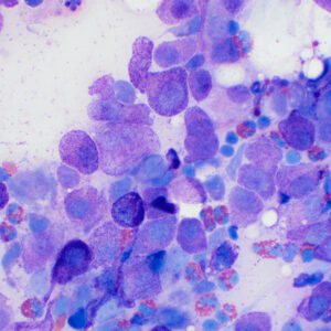
In regions of the smear, there were many variably (mostly lightly) granulated mast cells, displaying moderate anisokaryosis and anisocytosis. There are also increased eosinophils (modified Wright stain, 50x objective)
In regions of the smear, there were many variably (mostly lightly) granulated mast cells, displaying moderate anisokaryosis and anisocytosis. There are also increased eosinophils (modified Wright stain, 50x objective)