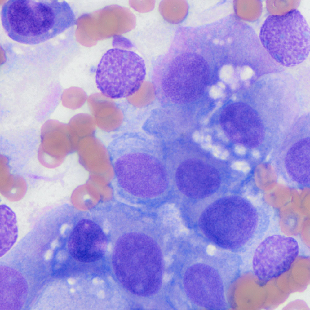
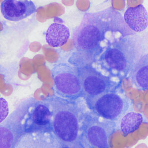
Figure 2c: Aspirate of a splenic mass in a dog with a metastatic mast cell tumor

Modified Wright stain (100x objective)

Scroll to Top