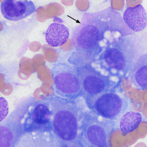
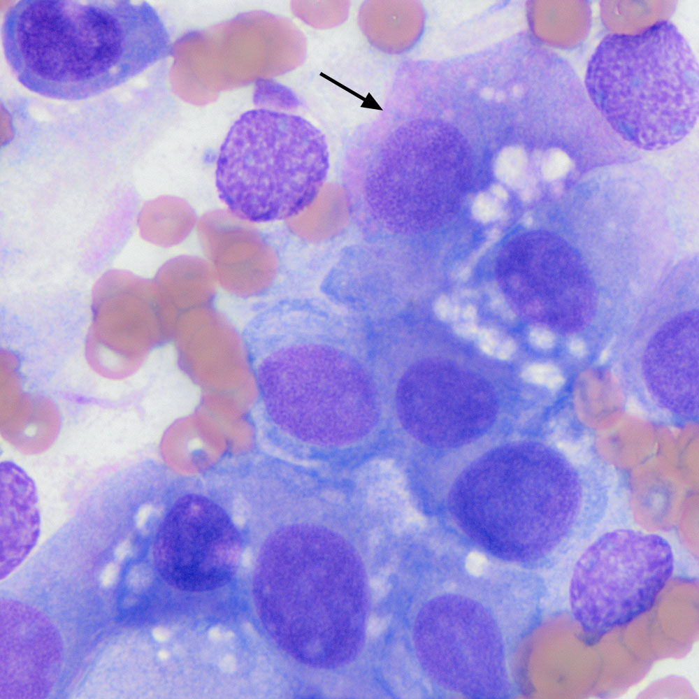
The cells are round to oval with round to oval eccentric nuclei containing finely stippled chromatin with multilple indistinct nucleoli (nucleoli are more obvious in bare nuclei from ruptured cells). A few cells contained low to moderate numbers of cytoplasmic vacuoles (could be a degradative change). Low numbers of cells contained numerous fine pink-red cytoplasmic granules (arrow), an unusual feature of endocrine or neuroendocrine tumors. This likely represented a secretory product. More globular forms of similarly colored material was seen within and between cells (not shown) (Modified Wright stain, 100x objective)

