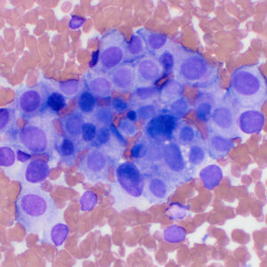
Figure 2b: Aspirate of a splenic mass in a dog with a metastatic mast cell tumor

Modified Wright stain (50x objective)

Scroll to Top