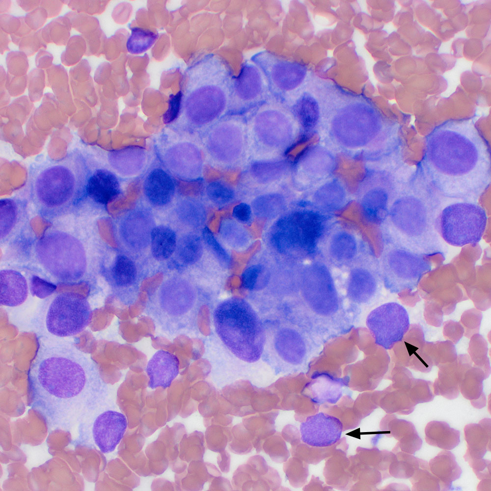
This grouping of neoplastic cells appears more cohesive and the cells have distinct cell boundaries. A few bare nuclei are seen around the edges (arrows) (modified Wright stain, 50x objective).
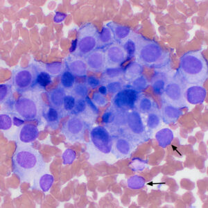
This grouping of neoplastic cells appears more cohesive and the cells have distinct cell boundaries. A few bare nuclei are seen around the edges (arrows) (modified Wright stain, 50x objective).