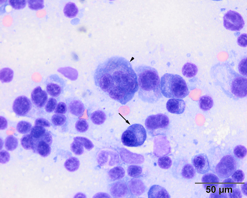
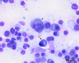
Note the cells with a distinct perinuclear zone and plasma cell appearance (arrow) and multinucleated tumor cells with round nuclei (arrowhead). The tumor cells displayed moderate anisokaryosis and anisocytosis, although many are ruptured in this image (modified Wright’s stain, 100x objective)

