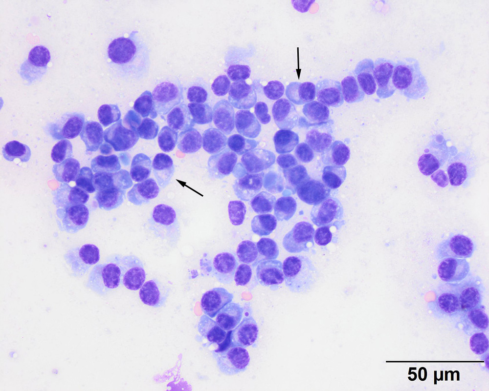
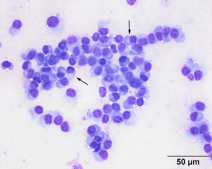
The aspirate consisted of a single population of ruptured and intact round or discrete cells. The cells had eccentric round nuclei with clumped chromatin, moderate amounts of deep blue cytoplasm, and a distinct perinuclear clear zone (corresponding to a Golgi apparatus; arrows). These cytologic features are characteristic of plasma cells (modified Wright’s stain, 50x objective)

